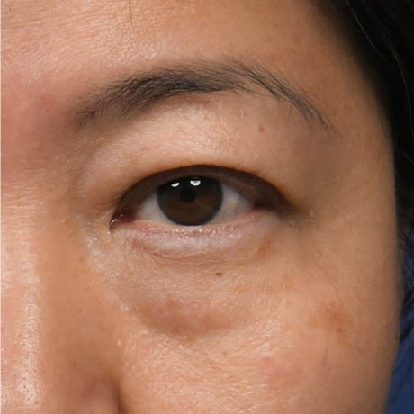
52 year old woman who complained of appearing tired related to bulging of her lower eyelids. She underwent lower lid blepharoplasty with fat repositioning by Dr. Amit Bhrany. Post-operatively, she has decreased fullness of her lower eyelids and a smoother transition from her eyelids to her cheeks.